La Salute su Aostaoggi.it - a cura del dott. Franco Brinato
AOSTA. Negli ultimi anni i continui tagli ai fondi destinati alla sanità, la crisi econoiica e l'aumento della povertà hanno ridotto l'accesso alle cure mediche per molti cittadini, con conseguenze disastrose per la salute pubblica. La tubercolosi è uno dei tanti esempio di malattie riemergenti nel nostro Paese a causa di una riduzione del livello di guardia su molte malatie infettive che testimonia una gestione non adeguata della sanità in molte regioni d'Italia.
Il rischio di turbercolosi è stato indicato dall'Organizzazione Mondiale della Sanità (OMS) come grave problema di sanità pubblica a livello mondiale già dal 1993. Anche se i casi, in numero assoluto, dal 2012 al 2012 si sono ridotti, dal 2009 si verificato un costante aumento della proporzione di casi notificati soprattutto tra cittadini nati all'estero: si è passati dal 44% nel 2005 al 62% nel 2016. Secondo l'ultimo rapporto del Centro europeo per il controllo delle malattie, la turbercolosi viene diagnosticata a trenta persone ogni ora.
Gli ultimi casi di tubercolosi in una scuola a Treviso dimostra che in Italia la malattia è presente e sta diventando un serio problema socio-sanitario.
Che cosa è la tubercolosi?
La tubercolosi (TBC) è una malattia infettiva molto contagiosa causata dal Mycobatterium tubercolosis, un batterio detto anche Bacillo di Koch. La malattia attacca solitamente i polmoni ma può colpire anche altri organi (cervello, ossa, rene, pelle, ecc) e si parla in questi casi di tubercolosi extrapolmonare.
Come si trasmette?
La tubercolosi si trasmette principalmente attraverso le gioccoline di saliva e le secrezioni bronchiali provenienti da persone affette dalla malattia. I bacilli raggiungono i polmoni dove possono rimanere dormienti, senza dare alcun disturbo evidente (infezione primaria o lantente), o dare il via all'infezione e quindi alla malattia tubercolare vera e propria. Questo può avvenire in un lasso di tempo compreso tra poche settimane o decenni (il tutto dipende dalla resistenza offerta dal sistema immunitario) e pertanto l'infezione può rimanere silente per mesi o anni e successivamente riattivarsi quando le difese immunitarie, in particolari situazioni, si riducono.
La trasmissione del bacillo non è facile. Sono necessarie alcune condizioni: il soggetto contagioso deve essere affetto dalla malattia in fase attiva, cioè deve avere un focolaio polmonare aperto che consente l'eliminazione dei bacilli all'esterno, la carica batterica inalata deve essere molto elevata, il ricambio dell'aria nell'ambiente deve essere scarso o assente (ambiente chiuso).
Come si manifestano i sintomi della tubercolosi?
La febbre di lunga durata, l'affaticamento, la mancanza di appetito, il dimagrimento, il dolore al petto e la tosse con emissione di sangue nell'espettorato sono i sintomi principali. La loro comparsa, soprattutto dopo aver accertato il contatto con un soggetto affetto da tubercolosi o dopo viaggi in zone dove la malattia è indemica (Africa ed alcune aree dell'Asia) , impone un controllo medico.
La TBC è una malattia infettiva curabile e può essere sconfitta con le cure appropriate. La diagnosi precoce è fondamentale ed intraprendere un trattamento in tempi rapidi aumenta le probabilità di guarigione.
Quali sono le persone più a rischio?
I giovani e tutti i soggetti che vivono in comunità (scuole, studentati), i soggetti con difese immunitarie deficitarie (AIDS, leucemie, ecc) e con malattie croniche, gli operatori sanitari (medici, infermieri). Questi ultimi nello svolgimento delle loro attività sono spesso a contatto sia con soggetti affetti dalla malattia sia con materiali potenzialmente contaminati.
Cosa fare per capire se si è stati contagiati?
La tubercolosi è una malattia molto seria, ma può essere curata e prevenuta con adeguati trattamenti e con una diagnosi precoce delle persone malate, cioè con TBC attiva e quindi infettiva. Una diagnosi precoce consente di adottare gli opportuni interventi terapeutici e di ottenere la guarigione.
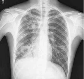
L'esame più diffuso per diagnosticarla è il test della tubercolina (Mantoux) che consiste nell'inoculare sotto la pelle un estratto del bacillo: la reazione positiva a questo test (gonfiore e arrossamento dopo 48 ore) indica che il bacillo è stato a contatto con l'organismo. Un test positivo impone di accertare o escludere la malattia attraverso una radiografia del torace. Una radiografia positiva di regola svela la presenza della malattia mentre una radiografia negativa di regola la esclude. Questo tipo di approccio diagnostico si esegue per escludere una localizzazione polmonare che, attualmente, è la forma di tubercolosi più frequente in Italia. Sono rari i casi di malattia extrapolmonare per i quali è necessario eseguire indagini diverse.
Un importante metodo diagnostico, più approfondito, è l'esame microscopico diretto dell'espettorato che consente di individuare la presenza del bacillo.
Come si previene la tubercolosi?
L'arma migliore per la prevenzione è individuare le persone con infezione tubercolare latente che rappresentano un grande "serbatoio umano" per la malattia. Il trattamento preventivo può impedire l'eventuale sviluppo della malattia. Un ruolo importante hanno il rispetto di alcune norme igieniche (non tossire in faccia, lavarsi le mani, evitare di rimanere in luoghi confinati con persone malate ecc) e l'eliminazione delle condizioni che rendono più suscettibili allo sviluppo della malattia (situazioni di emarginazione sociale, scarse condizioni igieniche).
Attualmente l'unico vaccino disponibile contro la tubercolosi è il vaccino vivo attenuato BCG (Bacillo di Calmette Guérin) che è efficace nella prevenzione di forme gravi infantili della malattia (meningite e altre forme di TB disseminata nei neonati e nei bambini). Il vaccino è utilizzato spesso tra i bambini piccoli in Paesi con un'elevata incidenza di TB. In Italia il vaccino è utilizzato solo in alcune categorie a rischio (operatori sanitari, soggetti che operano in ambienti ad alto rischio come medici e infermieri e coloro che non possono essere sottoposti a terapia preventiva perché presentano controindicazioni cliniche all'uso di farmaci specifici). Il limite del vaccino è che spesso non dà una immunizzazione completa. Attualmente sono in corso numerose sperimentazioni per la ricerca di vaccini più efficaci.
Come si cura la tubercolosi?
La Tb è una malattia curabile ed il trattamento farmacologico si basa sull'uso contemporaneo e a lungo termine di diversi antibiotici per evitare l'insorgenza di bacilli resistenti.
Conclusioni
La TBC è una malattia infettiva contagiosa riemergente nel nostro Paese e rappresenta una minaccia per la salute pubblica se non si mettono in atto provvedimenti mirati di sanità pubblica come: potenziare il sistema per la segnalazione dei casi di tubercolosi presenti sul territorio; migliorare e garantire l'accesso di tutte le persone ai servizi sanitari; rafforzare la diagnosi precoce e trattare i soggetti con malattia latente in modo da ridurre i serbatoi naturali dell'infezione.
dott. Franco Brinato
specialista in Medicina d'Emergenza Urgenza e Medicina Termale. Dirigente Medico di Medicina d'Urgenza e Pronto Soccorso




